Pierce Street Dental
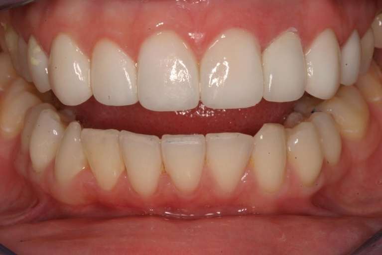
Veneers
Achieve a Flawless Smile

We custom-craft veneers in Beverly Hills, MI, to create your perfect smile.

Veneers | Dentist
We Warmly Welcome New Patients to Our Practice
Contact Us

Veneers

If you want to improve your smile's aesthetics, porcelain veneers are an excellent treatment to consider. Dental veneers are durable and look great—just like natural teeth, only better!

Porcelain veneers do not require much preparation, and we can usually place them in two or three appointments. Our patients are delighted with the results of porcelain veneers and only wonder why they didn't get them sooner. 

What Makes Porcelain Veneers Special?

Porcelain is a durable, slightly translucent material that closely resembles the appearance of natural tooth enamel. Veneers look so natural that people won't notice you have had any work done—they will just notice your beautiful smile!

Since veneers have a smooth, glass-like finish, they are also resistant to staining and attracting bacteria that can harm your teeth.

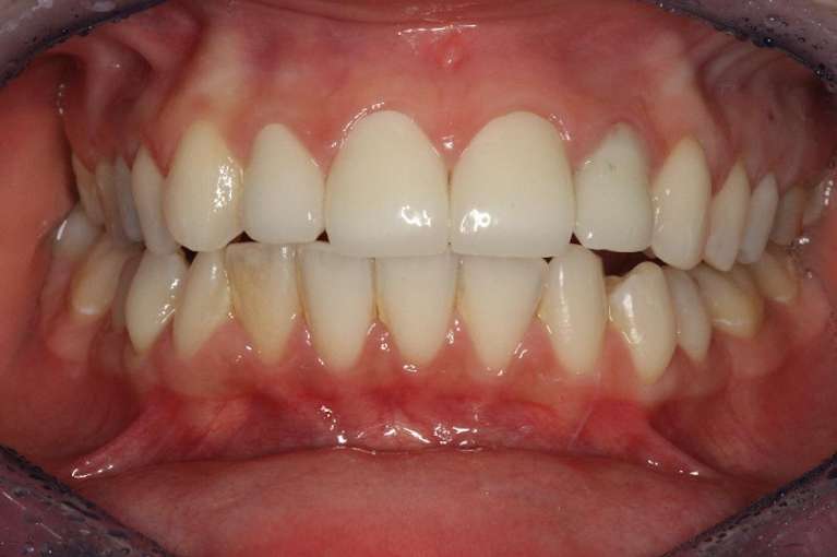
What Problems Can Porcelain Veneers Fix?

One of the great things about porcelain veneers is that they are so versatile and an excellent choice for correcting numerous cosmetic dental flaws, including:

  • Changing the shape of uneven teeth
  • Covering chips and cracks in teeth
  • Concealing gaps between your teeth
  • Correcting the appearance of slightly misaligned teeth

How Are Porcelain Veneers Applied?

Before we proceed with veneers, a dental exam is essential. We need to ensure your teeth are healthy so we can decide if porcelain veneers are the best choice for you. We will discuss your expectations so that we can make sure you get precisely the results you desire.

Once we decide that porcelain veneers are right for you, we recontour your tooth enamel so the veneers will cover your teeth perfectly. Next, we take dental impressions and help you choose the right shade of white for your final restorations.

Our dentist will place temporary veneers on your teeth and send the impressions to a trusted custom dental lab. Skilled technicians then carefully customize your veneers according to our exact specifications.

We will have you return to our office when your veneers are finished and bond them securely to the front surfaces of your teeth. Once they are in place, we polish and shape the veneers to perfection. With regular dental visits and proper at-home care, your veneers will keep your smile beautiful for many years.

Contact Our Office for More Information

We would love to hear from you so we can answer all your questions about porcelain veneers. Please contact our office for more information.

Frequently Asked Questions

Porcelain veneers are considered to be a permanent restoration since they are bonded to the surface of your teeth. They are made of porcelain, a very strong material, so it is rare for them to chip or fall off. In the unlikely event that this does happen, however, the veneer can be repaired and bonded back in place.

OUR TEAM

    Dr. Matthew E. Joelson

    Dr. Matthew E. Joelson has been practicing dentistry since 1997 and has been serving the community at Pierce Street Dental since 2012. His professional, compassionate approach and decades of experience make him a trusted provider for patients of all ages.

    He earned his Bachelor of Science from Michigan State University, his Doctor of Dental Surgery from Northwestern University, and completed his Advanced Education in General Dentistry (AEGD) at the University of California, San Francisco.

    Dr. Joelson was drawn to dentistry in high school after shadowing local ...

    View More
Are You Ready to Book Your Next Dental Visit?
If you have difficulty using our website, please email us or call us at (248) 594-3300
View the ADA Accessibility Statement
Privacy Policy