Pierce Street Dental
A Great Dentist
Request an Appointment
Leave a Google Review
(248) 594-3300
General and Aesthetic Dentistry
Home
About
Our Team
Technology
Services
View All
Invisalign®
Cosmetic Dentistry
General Dentistry
Emergency Dentistry
Dental Implants
Root Canal Therapy
Smile Makeovers
Children’s Dentistry
Veneers
Preventive Dentistry
Smile Gallery
Patient Info
View Patient Info
Testimonials
Financial
FAQs
Contact
Pierce Street Dental
>
Smile Gallery
>
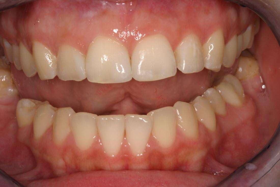
Laser Gingivectomy
Laser Gingivectomy
Return to Smile Gallery
Previous
Next
Related Services:
General Dentistry
Click image to see a larger picture
Before
After
We Warmly Welcome New Patients to Our Practice
Contact Us
If you have difficulty using our website, please
email us
or call us at
(248) 594-3300
View the
ADA Accessibility Statement
Turn on ADA Views
Privacy Policy
OK!
×
×
Contact Us Today
Give Us A Call
Pierce Street Dental -
(248) 594-3300
Send Us an Email
Request an Appointment
Contact Us
Ready to Schedule an Appointment?
Book Online
Have Questions? Contact Us:
Required Field
Your Name:
Phone:
Email:
Are you a new patient?:
Are you a?
New Patient
Current Patient
How would you like us to contact you?
Please choose
Email
Call
How did you hear about us?
Please choose
I'm an existing patient
Google/Bing
Mailer
Word of mouth
Social media
Other
Who Referred You?:
Appointment Preferences
Monday
Tuesday
Wednesday
Thursday
Saturday
Your Message:
This site is protected by reCAPTCHA and the Google
Privacy Policy
and
Terms of Service
apply.
Sending...
×
This Patient's Experience
Loading Testimonial...
Loading Case...