Pierce Street Dental

Smile Gallery: Cosmetic Dentistry

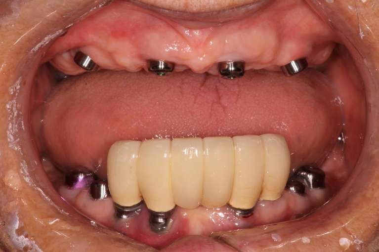
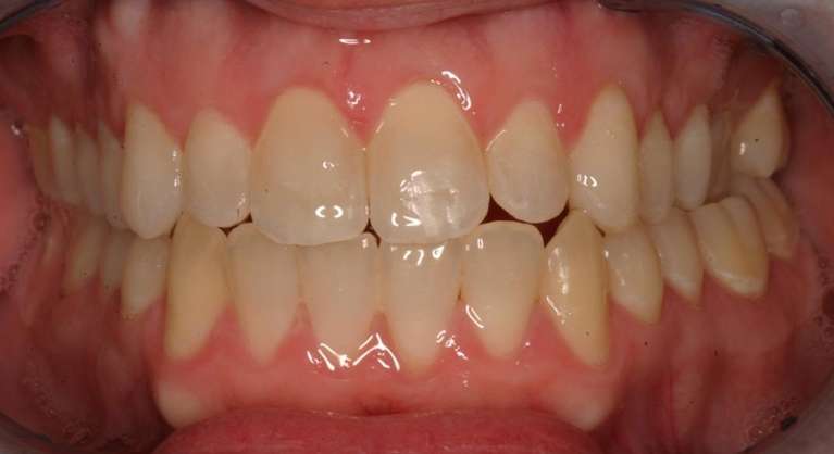
Take a look at our smile gallery to see real patients with real results.

Not finding what you need?
Above and Beyond Care You Can Count On.

Everyone at Pierce Street Dental is superb! Dr. Shushtari is my favorite but both Drs are great. The staff is caring, compassionate, and go the extra mile for their patients. How? A few months ago I had a crown come off and the office had just closed for the day but Dr. Shushtari was willing to drive right back so he could tend to my crown issue. I will never forget that. That is going above and beyond the call of duty. Fantastic dental office!

- Cindy

If you have difficulty using our website, please email us or call us at (248) 594-3300
View the ADA Accessibility Statement
Privacy Policy