Pierce Street Dental

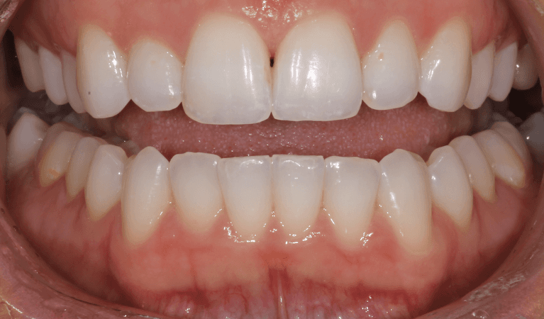
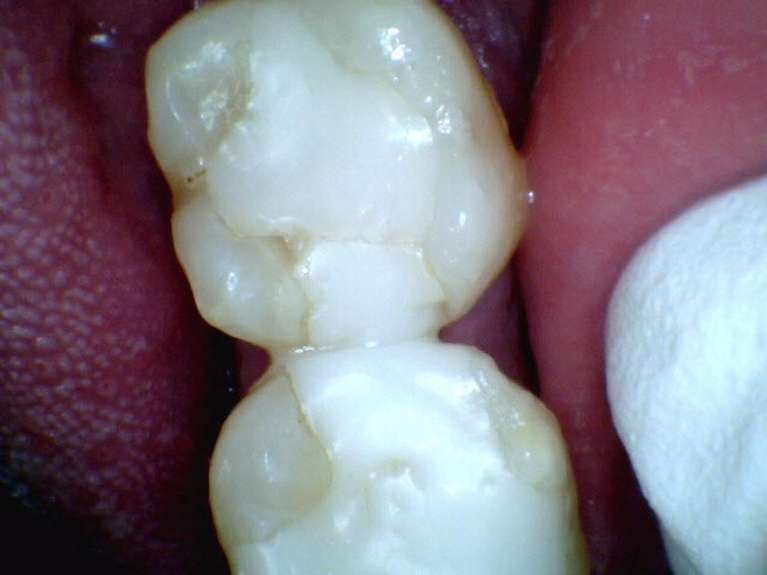
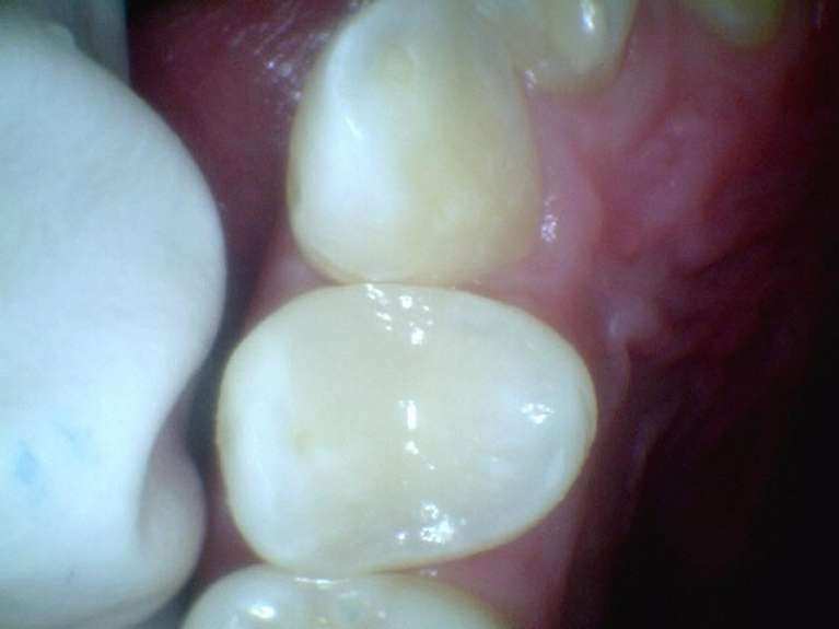
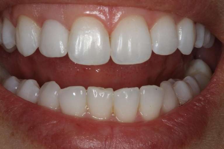
Smile Gallery: General Dentistry

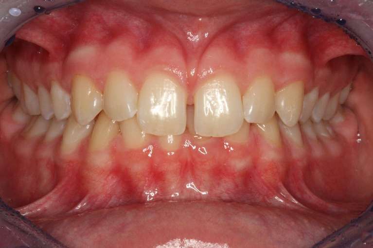
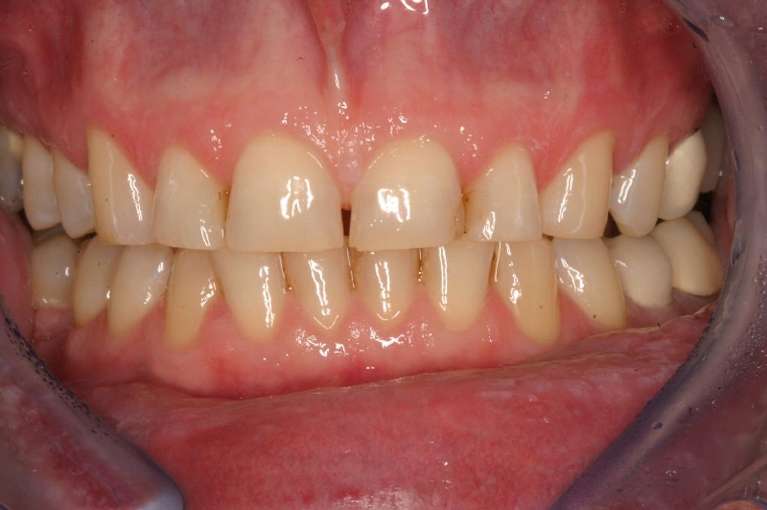
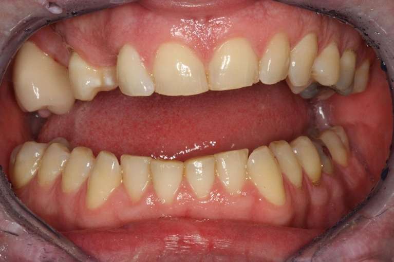
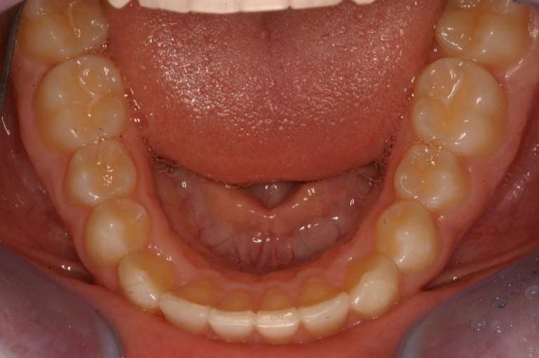
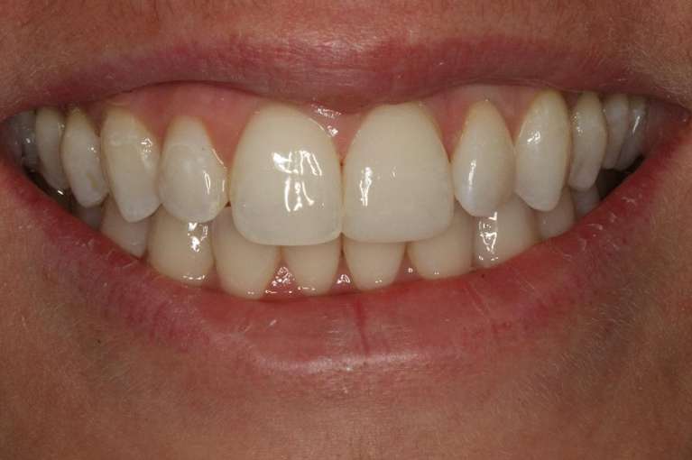
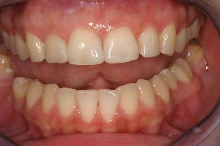
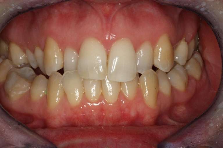
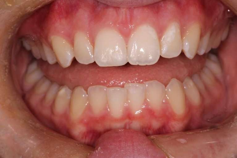
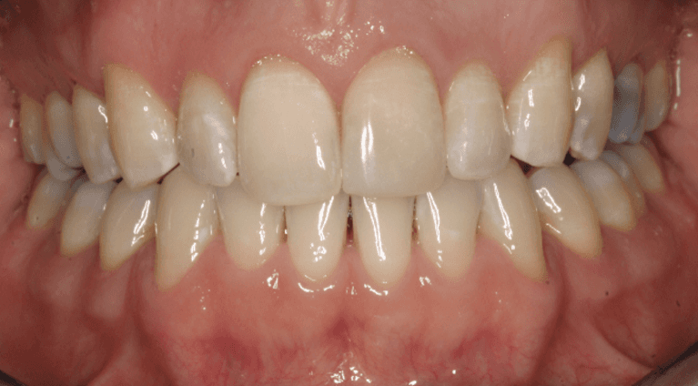
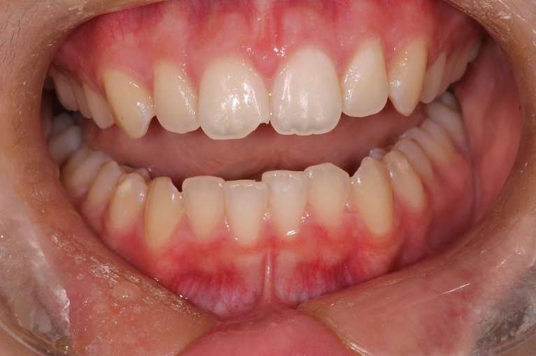
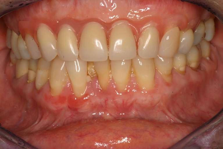
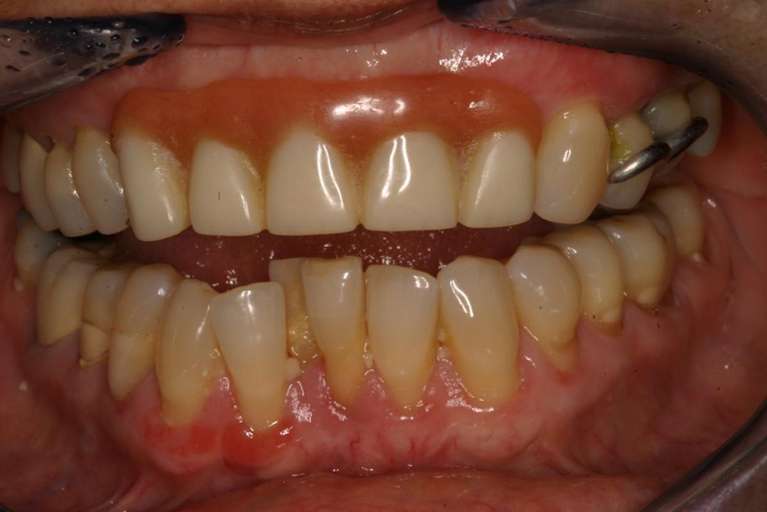
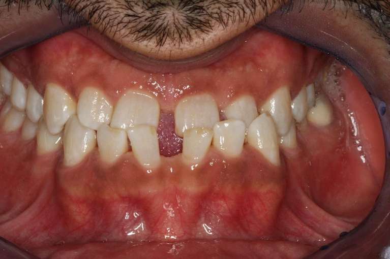
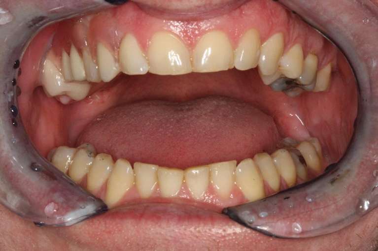
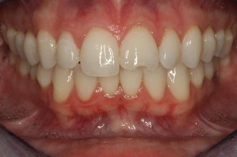
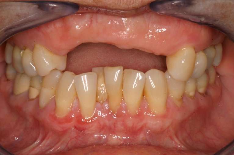
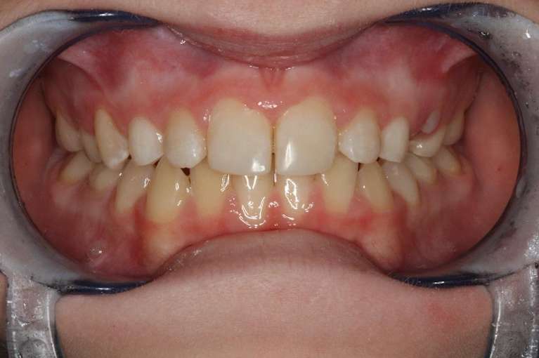
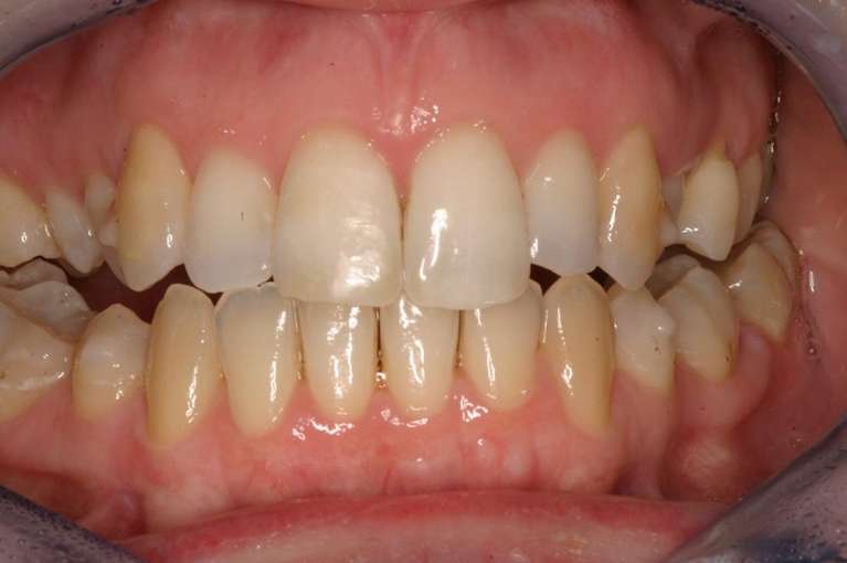
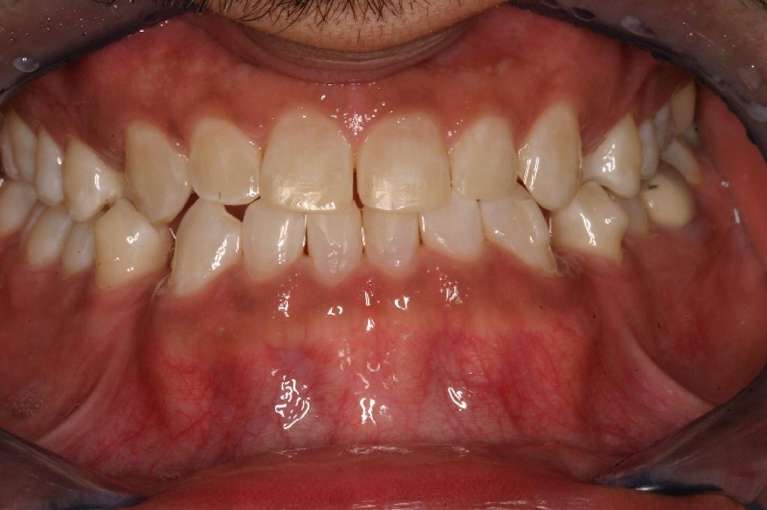
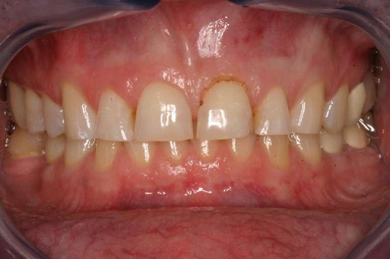
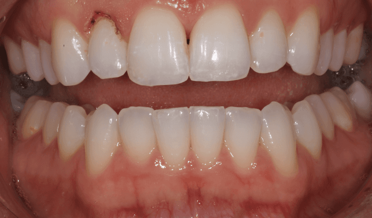
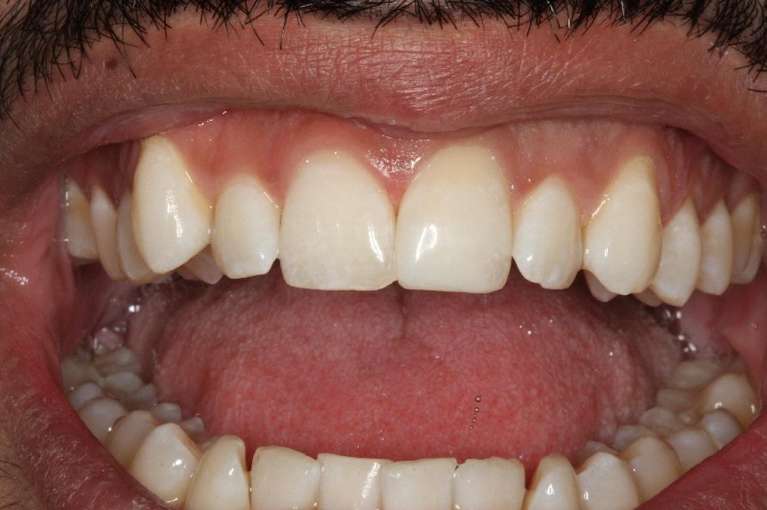
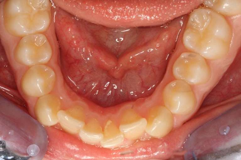
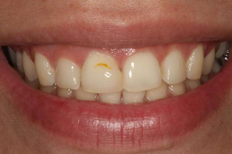
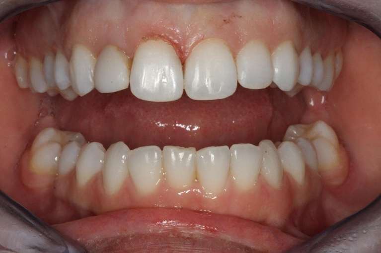
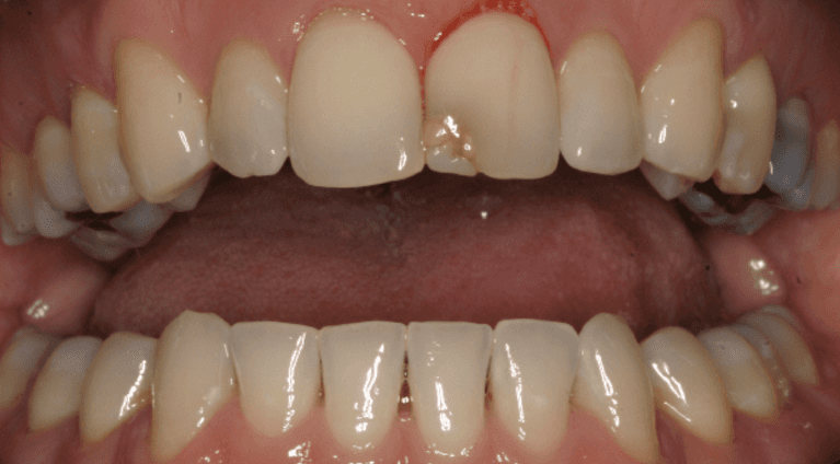
Take a look at our smile gallery to see real patients with real results.

We Warmly Welcome New Patients to Our Practice
A Lifetime of Excellent Care.

I have been coming here my entire life and cannot speak highly enough on this wonderful practice. Dr. Shushtari is not only a knowledgeable and experienced doctor, he is also one of the kindest professionals you will ever meet. The entire staff is accommodating and friendly and the practice itself is warm and inviting. I would recommend Pierce Street Dental to anyone!

- Alexander

If you have difficulty using our website, please email us or call us at (248) 594-3300
View the ADA Accessibility Statement
Privacy Policy